平日、12時~15時にお電話ください。
院長が直接、質問にお答えします。
メールでは随時対応いたします。
※不在時または他の電話に出ている場合はご容赦ください。
治療の流れ
症状やこれまでの経過や治療歴などをお伺いします。
なるべく詳しくお伝えください。
お話を伺い、背中を診させて頂いた時点で原因の70%は分かります。


脊椎のずれや神経圧迫を検査する機械です。
解剖図と同時に表示されますので自分の背骨の異常がわかり、症状との関連も浮き彫りにされます。


全身の各部位をマーキングすることで体全体のゆがみを画像として数値で表示。
筋肉の緊張やゆるんだ部位、年齢に合わせたその評価や採点も解析。
さらに、効果的な運動やストレッチ指示もプリントされます。
メーカーHP:http://www.gsport.co.jp/yugamiru/
これらの結果に基づき更に細かい検査を組み合わせることで、その症状や悩みの原因を探し出します。
骨格と筋肉のバランスを総合的に判断します。
頭の傾きや肩の高さの差、骨盤の向きや傾き、大腿骨の方向など総合的に判断します。
骨盤はいくつかの骨で構成されています。
その中でも大切なのが、中心にある仙骨です。
仙骨のずれは腰や下半身だけでなく、体の様々なところに症状がでます。
また、下肢測定法により頚椎の変位をみることもできます。
骨盤や頚椎のゆがみはさまざまな病気をひきおこします。
体を静止した状態で全体のバランスをみます。
この方法でも骨格や筋肉のバランスをみることができます。
Dr.ファイファーにより開発されたテクニックで+、-の磁石を用いる検査法です。
骨の変位や筋肉の状態または内臓障害までも検査可能です。

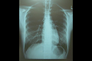
提携病院の協力によりレントゲン撮影し、直接患部を見ます。
内科学的または整形外科学的な診断とともにカイロプラクティックの判断をします。
筋肉機能の検査です。体深部のいわゆるコアマッスルや表在筋の検査です。
この検査を応用することで痛みの原因や筋肉の緊張バランスもみることができます。
症状により様々な検査を行い、骨模型や解剖図を使って説明し、ご納得して頂き治療法を選択致します。
※ 体質や症状には個人差があります。結果を保証するものではありません。

こんな症状は治るのか?治療は受けているが効果があがらないのはなぜ?
どんな治療をするの?矯正って痛くないの?
他で治らないと言われたが本当に治す方法はないのか?
手術を勧められたが、他の方法はないのか?
などなど……
平日、12時~15時にお電話ください。
院長が直接、質問にお答えします。
メールでは随時対応いたします。
※不在時または他の電話に出ている場合はご容赦ください。
代表:内田雅己(力イロプラクター)
長野県長野市稲田1-28-24
TEL&FAX:026-259-5877
MAIL:apple_chiro@yahoo.co.jp